Child dentistry or Paediatric is branch of dentistry which deals with patients from infancy to adolescence. At FMS dental, our highly trained senior specialists focus on preventive care of oral hygiene which helps in habit formation to maintain and prioritize dental health at young age. We care in creating a stress free environment where your child can adapt to different treatment modals, initially emphasizing on prophylactic measures then eventually moving on to invasive care.
There is a common misconception as to why children require early dental visits, especially when they don’t have any prevailing complications such as multiple dental caries. A paedodontist can diagnose birth abnormalities at an early stage which might seem normal to untrained eyes. Having caught at such stage can not only prevent future complications but also prevent them completely. Our doctors specialise in monitoring growth patterns and teeth placement in primary bone which has overall effect on healthy grown of an infant.
Oral Habits are one of those areas which require special attention at primary phase. Even though some of these habits are considered normal, they are acceptable only till a specific time frame. Such habits include, non-nutritive sucking, mouth breathing, lip or nail biting, etc. Presence of such practice is an important indicator of a hurdle child’s behavioural development.
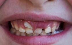
Baby teeth also play a very important role in holistic development of your child. As the jaw bone develops, primary teeth help to maintain the space for secondary teeth. If lost early, they might cause collapse of their entire permanent dentition leading maligned crowded teeth and disrupted bite. Failure of timely treatment as a major affect child’s nutrition due to inability to masticate efficiently. Inadequate nourishment to a developing body at the right time could lead to deficiencies and defects in other parts of child’s physique
SCALING AND POLISHING: It is a procedure that removes plaque and tartar from teeth and gums.
FLUORIDE VARNISH APPLICATION: It is a procedure that involves applying a thin layer of fluoride to the surface of teeth to prevent tooth decay.
PIT AND FISSURE SEALANTS: Pit and fissure sealant application is a quick ,non invasive procedure that protects the deep groves on the tooth surface from decay.
ATRAUMATIC RESTORATION TECHNIQUE (ART): A minimally invasive technique to control caries progression. These include simple procedures like caries excavation and application of silver diamine fluoride to arrest caries progression.
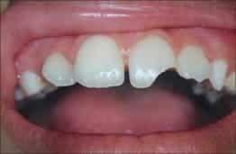
MANAGEMENT OF DENTAL TRAUMA IN CHILDREN: Dental trauma in children encompassing injuries to teeth and surrounding tissues, is a common occurrence, with falls , sports and accidents being a frequent causes. Prompt treatment is necessary to prevent long term complications and preserve tooth health and function.


RESTORATIONS: Tooth coloured fillings or composite restorations are a popular and effective way to repair cavities in children, offering a natural looking and durable solution that blends with their teeth.
MILK TEETH EXTRACTIONS: A procedure in which the milk tooth or baby teeth are extracted by the dentist.


SPACE MAINTAINERS: Devices that help preserve space in a child’s mouth after a milk tooth is lost prematurely.

PULPECTOMY (ROOTCANAL TREATMENT FOR MILK TEETH): Pulpectomy is procedure that removes the infected or damaged pulp from the milk teeth there by preventing the spread of the infection to the underlying permanent tooth bud. If the infection in the milk teeth are left untreated they can affect the development of permanent teeth.

STAINLESS STEEL CROWNS: Stainless steel crowns are preformed metal caps used in pediatric dentistry to restore decayed or damaged teeth. They are most commonly used after a pulpectomy procedure to restore the bite and serves as a strong and durable restoration.
ESTHETIC CROWNS: Esthetic crowns are preformed crowns that are designed to look natural and restore the function of teeth. They are most commonly used after a pulpectomy procedure to restore the bite and serves as a strong and durable restoration
MOUTH BREATHING/ SNORING IN KIDS: Mouth breathing is a condition caused by a number of health issues including allergies, enlarged tonsils and nasal obstruction which if left untreated can lead to dental problems and facial deformities. It can impact the child’s sleep, growth and development and lead to behavioral issues and learning disabilities.

HABIT BREAKING APPLIANCES FOR THUMB SUCKING, TONGUE THRUSTING, LIP BITING: Oral habits in children are repetitive actions involving the mouth, such as thumb sucking , tongue thrusting, lip biting , teeth grinding , nail biting. These habits if left untreated can lead to misaligned teeth and affect the growth of the jaws and facial structures leading to long term problems. Some of the appliances used to treat the above conditions are oral screens, tongue crib, night guard.

MYOFUCTIONAL THERAPY WITH MYOBRACE: Myobrace is a pre orthodontic treatment that uses removable appliances and myofuctional exercises to address underlying cause of misaligned teeth and other dental problems, focusing on retraining oral habits and promoting proper facial development. It is a more natural and holistic way of straightening teeth without the use of braces .Ideal age group 7-11 years.
PRE ORTHODONTIC TREATMENT FOR ANTERIOR PROCLINATION AND LOWER ANTERIOR CROWDING IN MIXED DENTITION (AGE 6-12 YEARS): Pre orthodontic treatments is a dental procedure that can prepare the patient for the orthodontic treatment. This includes the uses of various appliances that can be used in growth phase to modify and promote growth of the jaws.

ALIGNERS FOR TREATING CROWDING IN CHILDREN BETWEEN THE AGE OF 6-10 YEARS ( INVISALIGN FIRST): Invisalign first is a specialized clear aligner treatment designed for children aged 6 to 10 years of age to address common orthodontic issues like crowding, spacing and narrow dental arches , promoting healthy jaw and tooth development.
FRENECTOMY: A frenectomy in kids also known as frenotomy is a procedure to release a tight frenulum ( a small fold of tissue connecting the lip or tongue to the gums) to improve function, particularlity for breastfeeding , eating and speech.
Copyright ©2020 all rights reserved